top of page
Buscar


Bem-vindos ao meu Blog: Seu Espaço para Atualização em Implantodontia e Periodontia
Bem-vindos ao meu Blog: Seu Espaço para Atualização em Implantodontia
dennisguimaraes
25 de mar. de 20251 min de leitura


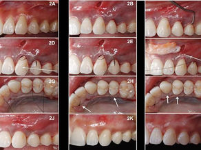
Mucosa queratinizada ao redor de implantes: ela realmente faz diferença no longo prazo?
Durante muitos anos, o sucesso dos implantes dentários foi avaliado quase exclusivamente por dois critérios: osseointegração e sobrevivência do implante . Mas a implantodontia evoluiu. Hoje, quando falamos em sucesso real, já não basta que o implante esteja “preso ao osso”. É preciso avaliar também a saúde peri-implantar , a estabilidade dos tecidos moles , a facilidade de higiene, o conforto do paciente e a manutenção dos resultados ao longo do tempo. Dentro desse contexto,
dennisguimaraes
há 3 dias3 min de leitura


Novo artigo: Revisão sistemática analisa o controle da dor no enxerto gengival livre
Controle da dor pós-operatória após enxerto gengival livre: evidências atuais O enxerto gengival livre (EGL) continua sendo uma técnica amplamente utilizada na Periodontia e Implantodontia, especialmente para aumento de faixa e espessura de gengiva queratinizada. Apesar de sua previsibilidade clínica, a morbidade da área doadora palatina — que cicatriza por segunda intenção — permanece como uma das principais limitações do procedimento. Recentemente, foi publicado no Brazilia
dennisguimaraes
25 de jan.2 min de leitura


Contatos interproximais e sua relevância na estética gengival e reabilitações sobre implantes
Os contatos interproximais entre próteses sobre implantes e dentes naturais desempenham papel crítico na manutenção da saúde periodontal...
dennisguimaraes
5 de ago. de 20252 min de leitura


Por que se Especializar? A Primeira Etapa de uma Jornada Transformadora
Hoje encerramos o primeiro módulo da nova turma de Especialização em Implantodontia , e é impossível não refletir sobre o impacto que a...
dennisguimaraes
29 de mai. de 20251 min de leitura


🦷 Técnica de Khoury: Precisão e Destreza na Reconstrução Óssea
O preparo do bloco obtido do ramo da mandíbula para a técnica de Khoury é uma fase da cirurgia que exige destreza para conseguir lâminas...
dennisguimaraes
2 de mai. de 20252 min de leitura


Perfil de Emergência na Implantodontia: O Detalhe que Garante Estética, Funcionalidade e Saúde Peri-implantar
Na implantodontia moderna, alcançar resultados previsíveis e esteticamente satisfatórios vai muito além da osseointegração. A excelência...
dennisguimaraes
21 de abr. de 20252 min de leitura


🦷 A Importância da Superfície de Contato Interproximal na Estética do Sorriso
O equilíbrio entre os dentes anteriores é um fator determinante para a estética do sorriso. Morley & Eubank (2001) calcularam a...
dennisguimaraes
3 de abr. de 20253 min de leitura


Dr. Dennis Guimarães e o ITI Study Club em Belo Horizonte
A odontologia moderna exige atualização contínua e troca de experiências para oferecer tratamentos cada vez mais previsíveis e...
dennisguimaraes
25 de mar. de 20251 min de leitura


Sorriso Gengival: Diagnóstico e Tratamento – Abordagem Clínica e Terapêutica
O sorriso gengival é uma condição que pode comprometer a harmonia estética do sorriso e impactar a percepção do paciente sobre sua...
dennisguimaraes
25 de mar. de 20252 min de leitura


A modified tunnel technique to treat multiple gingival recessions: Case Series
Técnica de Tunelização Modificada para o Tratamento de Múltiplas Recessões Gengivais: Um Avanço na Periodontia
dennisguimaraes
25 de mar. de 20252 min de leitura
bottom of page

